
CCD視覺檢測設備在醫療影像分析中的應用主要體現在以下方麵:

一、醫學影像的采集與預處理
高分辨率成像:CCD傳感器能夠以高分辨率捕獲醫學影像(如X光、CT、MRI等),為後續分析提供高質量圖像數據。
圖像預處理:通過圖像處理算法(如灰度變換、二值化、邊緣檢測、形態學處理等)對原始影像進行增強和去噪,提升圖像質量,便於醫生觀察和診斷。
二、病灶檢測與識別
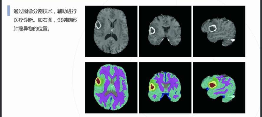
自動病灶檢測:借助計算機視覺和人工智能算法,CCD視覺檢測設備能夠自動識別醫學影像中的病灶區域,如腫瘤、炎症、骨折等異常結構。
早期癌症篩查:在乳腺癌、肺癌、皮膚癌等癌症的早期篩查中,CCD視覺檢測係統通過分析X光、MRI或CT掃描圖像,識別出腫瘤的早期跡象,顯著提高早期診斷率。
三、醫學影像的定量分析與測量
精確測量與評估:CCD視覺檢測設備可對病灶的大小、形狀、位置等參數進行精確測量,幫助醫生量化評估病情,製定更精準的治療方案。
病情跟蹤與對比分析:通過對患者不同時間點的影像數據進行自動對比分析,係統能夠監測病情變化,評估治療效果,輔助醫生及時調整治療方案。
四、手術導航與輔助操作
實時手術導航:在手術過程中,CCD視覺檢測設備提供高清晰度的實時影像,幫助醫生精準定位手術目標,避開重要神經和血管組織,降低手術風險。
手術模擬與培訓:結合虛擬現實技術,CCD視覺係統可用於手術模擬和醫生培訓,提高手術技能和安全性。
五、醫療製藥行業的輔助應用
藥品與器械質量檢測:在藥品生產過程中,CCD視覺檢測設備可用於檢測藥品包裝、標簽、泡罩內藥物顆粒的完整性和準確性,確保藥品質量符合標準。
醫療器械生產監控:在醫療器械製造環節,CCD係統可實時監測設備的外觀缺陷、尺寸精度、裝配位置等,確保產品質量和安全性。
綜上所述,CCD視覺檢測設備通過高分辨率成像、智能算法分析、精確測量與實時監控,顯著提高了醫療影像分析的準確性、效率和安全性,成為現代醫學診斷與治療的重要輔助工具。
芯片封裝哪些工序需要點膠
2026-03-22
在芯片封裝的全流程中,點膠工藝主要承擔著粘接、保護、導熱、導電和密封五大功能。幾乎所有需要將兩種材料結合或保護芯片免受環境影響的環節,都會涉及到點膠。
視覺係統能夠應用在哪些工序的芯片封裝點膠檢測中
2026-03-22
在芯片封裝的點膠工序中,視覺係統是保證工藝質量的核心。點膠主要用於芯片粘接、底部填充、包封和精密塗覆,這些環節的缺陷往往會導致芯片功能失效。
TWS無線耳機密封點膠缺陷視覺檢測係統
2026-03-22
TWS無線耳機密封點膠缺陷視覺檢測係統
FPC膠線最終質量視覺檢測
2026-03-15
FPC上的膠線(通常指補強膠、粘接膠或密封膠)最終質量視覺檢測是3C電子製造中非常關鍵的環節。由於FPC本身柔軟、易變形,且膠線反光特性複雜,這對視覺檢測係統提出了較高的要求。
官方公眾號
官方抖音號Copyright © 2022 東莞康耐德智能控製有限公司版權所有.機器視覺係統 粵ICP備2022020204號-1 聯係我們 | 網站地圖